女性一生中患乳腺癌的概率為10%,全世界每年約有乳腺癌病人120萬人,每年約有40萬人死於該病,並且以每年2%~3%的速度遞增。在美國,乳腺癌的發病率已居女性惡性腫瘤第一位,其死亡率居惡性腫瘤死亡率的第二位。乳腺癌病人的生存期和病理分期密切相關,病理分期越早治癒率越高,因此在目前對乳腺癌的一級預防尚無良策的情況下,早期診斷尤為重要。多項研究表明,乳腺癌篩查可發現更多的早期病例,在患病率不斷上升的背景下可使死亡率逐漸下降
乳腺癌在年輕女性中很少見,在美國,每年被診斷為乳腺癌的女性中,年齡在35歲以下的不到2%。然而,35歲之前患乳腺癌的女性往往有更具侵襲性的疾病。最近對150588名患有乳腺癌的女性進行的一項基於人群的研究發現,在控制其他因素的情況下,較年輕的年齡是生存率下降的獨立預測因素。目前,人們對25歲以下人群中乳腺疾病的發病率、重要性或適當的處理方法的了解有限。
已知老年人乳腺組織病理評估是十分重要的,但仍不清楚是否有必要對年輕女性進行類似的分析,或應該在什麼年齡送乳房標本進行病理評估。矛盾在於年輕女性的大多數乳房縮小標本沒有病理髮現,而同樣重要的事實是,年輕女性的惡性或高危發現可能預示著更糟糕的預后,及早發現可能增加惡性腫瘤風險的病變可能有潛在的顯著臨床優勢。
本研究旨在描述年輕女性乳房縮小整形術的偶發病理結果,以確定年輕女性乳腺組織常規組織病理學檢查是否有益,並通過回顧現有的最佳文獻來指導年輕非典型病變患者的治療。

研究共納入798名年輕女性。手術時患者平均年齡(17.5±2.0)歲,平均體重指數(28.7±5.7)kg/m2,平均切除重量(685±339)g/乳房。181名患者(22.6%)有乳腺癌家族史,其中20名(2.5%)為一級親屬,165名(20.7%)為二級或更高級別的親屬。5名患者(0.6%)有BRCA突變的家族史,1名患者本人也有已知的BRCA1突變。初潮年齡7~16歲,平均11.9±1.5歲。有267名患者(33.5%)用過激素避孕藥,128名患者(16.0%)經常喝酒,31名患者(3.9%)吸菸。此外,5名患者(0.6%)有性早熟病史。


①21例(2.6%)有非增殖性病變(如導管擴張、單純性囊腫、大汗腺化生)。
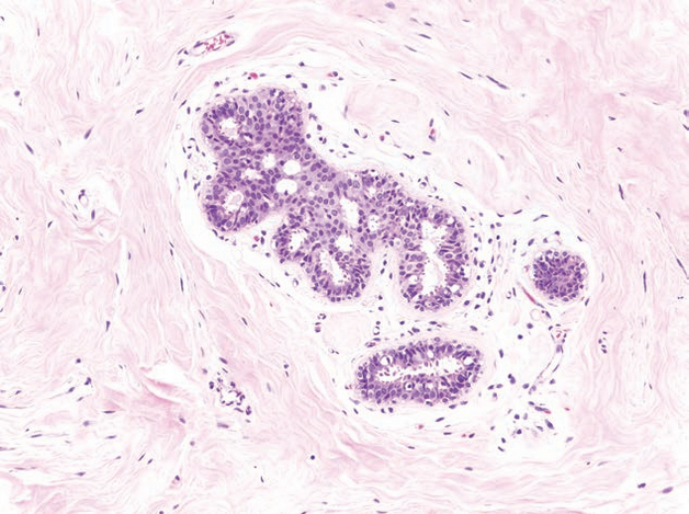
②64例(8.0%)有增殖性病變而沒有異型性。









大多數年輕女性屬於普危人群,真正診斷出乳腺癌的風險比大家認為的要低。作為一個預防手段,建議與乳腺科醫生進行充分溝通,全面評估篩查利弊,充分知情,以積極、正向的態度對是否篩查進行決策,發揮篩查真正的意義。
